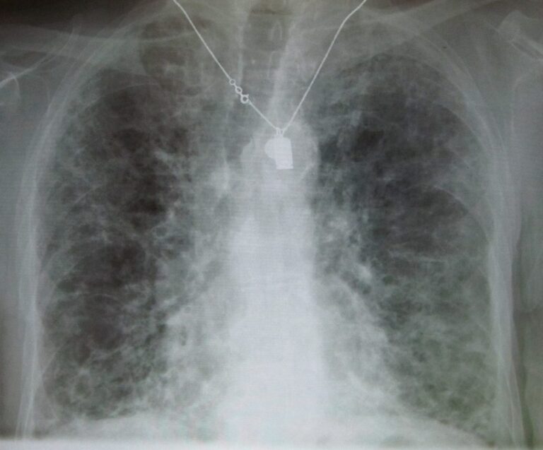
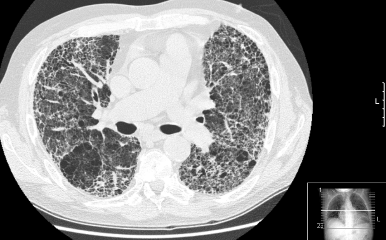
Když se člověk řízne, rána se obvykle zacelí a na místě zůstane jizva. Na kůži jde o více či méně estetický problém, pokud se však jizvy objeví na plicích, mohou zabíjet. Zjizvená, tj. fibrotická tkáň totiž neumožňuje průchod kyslíku.
Některou z forem plicní fibrózy v Česku trpí tisíce lidí a každý rok jich dalších přibližně 150 přibude. Moderní léčba dnes dokáže proces jizvení zpomalit, klíčem je ale rychlé odhalení nemoci.
S tím, aby se pacienti dostali k odborníkům včas, pomáhá i program časného záchytu rakoviny plic. Při vyšetření totiž lékaři nacházejí kromě rakoviny další nemoci – a mezi nimi právě fibrózu.
O situaci lékaři informují u příležitosti Měsíce plicních fibróz, který připadá na září.
Pomalá smrt
„Screening rakoviny plic je významným zdrojem záchytu fibróz. O této vážné nemoci se na rozdíl od rakoviny téměř nemluví, a přitom je stejně tak smrtelná.
Plicních fibróz je více druhů, všechny ale mají stejný rys – postupují v čase, mají tendenci zajizvovat plicní tkáň a pacienta časem udusit.
Proto je nesmírně důležité nasadit včas léčbu, která procesu jizvení brání,“ vysvětluje přednostka Pneumologické kliniky Fakultní Thomayerovy nemocnice a 1. LF UK prof. MUDr. Martina Koziar Vašáková, Ph.D. Jak dále uvádí, od roku 2022 do 2024 absolvovalo v rámci screeningu rakoviny plic vyšetření s pomocí nízkodávkového CT 14 989 rizikových osob.
U 3,5 % (464 osob) lékaři jako sekundární nález objevili fibrotické změny na plicích. Z těchto 464 osob bylo u 6,0 % (28) nakonec diagnostikováno intersticiální plicní onemocnění.

Idiopatická plicní fibróza
Fibrózy se často pojí s jinými nemocemi, jako je například revmatoidní artritida nebo systémová sklerodermie. Nejzávažnější formou plicních fibróz je tzv. idiopatická plicní fibróza, která bez léčby zabíjí do 2–5 let.
Tu má v ČR dle odhadů odborníků přes 1 300 osob. Antifibrotickou léčbu, která postup nemoci zpomaluje, však užívá jen asi 800 z nich. „Nemoc se zpočátku projevuje únavou a postupně sílící dušností při námaze.
Lidé je ale často zaměňují za příznak stáří či špatné kondice, a do ordinace nám chodí až v pokročilé fázi nemoci.
Ne všem pak můžeme antifibrotickou léčbu nasadit,“ popisuje stav doc. MUDr. Martina Šterclová, Ph.D., předsedkyně Sekce pro intersticiální plicní procesy (SIPP) České pneumologické a ftizeologické společnosti (ČPFS) ČLS JEP. Připomíná nadějně vycházející odborné studie na nové léky, ty ale teprve čekají na schválení jak v USA, tak v Evropě. „Takový proces trvá obvykle i několik let,“ doplňuje doc. Šterclová.

Křupání při chůzi po zmrzlém sněhu
Už na počátku lze nemoc poznat poslechem plic fonendoskopem. Ozývá se zvuk připomínající křupání při chůzi po zmrzlém sněhu nebo rozepnutí suchého zipu.
„Dalším typickým znakem nemoci jsou paličkovité prsty s vyklenutými nehty ve tvaru hodinových sklíček a přetrvávající kašel. Plicní fibrózu tak lze zachytit už v ordinaci praktického lékaře,“ vysvětluje doc. Šterclová.
Aby lidé věděli, kam se obrátit a jak potíže vypadají, pracuje nyní organizace Hlas onkologických pacientů (HOP) společně s pneumology na zmapování cesty pacientů s plicní fibrózou.
„Cesta pacienta ilustruje, jaké jsou příznaky a symptomy plicní fibrózy a na koho se má člověk v případě podezření obrátit.
Jednoduše mapuje všechny kroky pacienta, tak aby se dostal co nejdříve k účinné léčbě,“ popisuje Petra Adámková, předsedkyně Výboru HOP. Plicní fibrózy se vyskytují převážně u bývalých a současných kuřáků.
Antifibrotickou léčbu, hrazenou zdravotními pojišťovnami, lékaři nasazují v celkem 16 centrech pro diagnostiku a léčbu intersticiálních plicních procesů.

O plicní fibróze
Plicní fibróza (PF) je závažné onemocnění, při němž dochází ke zjizvení původně zdravé plicní tkáně a k jejímu ztluštění a ztuhnutí. Pacient tak ztrácí plochu k dýchání a postupně se u něj snižuje schopnost nadechnout se.
Mezi nejčastější projevy PF patří zvýšená dušnost, a to už při vykonávání mírné fyzické aktivity, chronický kašel, paličkovité prsty (rozšířené a zakulacené konečků prstů na rukou nebo nohou), únava a postupné neúmyslné ubývání na váze.
Postup nemoci může zpomalit léčba, která je v České republice hrazena zdravotními pojišťovnami. Je však potřeba, aby se k ní pacient dostal včas.
PF může být průvodním jevem více než 200 plicních onemocnění, která se označují souhrnným názvem intersticiální plicní procesy. V současné době jimi na celém světě trpí přibližně 3 miliony lidí. Více o plicní fibróze najdete na www.zivotsplicnifibrozou.cz a v tomto videu.
